- Ankle Arthritis
- Anterior Ankle Impingement and Bone Spurs
- Posterior Ankle Impingement and Os Trigonum
- Ankle Fracture
- Ankle Instability
- Ankle Syndesmosis Injury
- Osteochondral Lesions of the Talus (OLT)
- Tibialis Posterior Tendon Dysfunction
- Plantar Fasciitis
- Hindfoot Arthritis
- Lesser Toe Deformity
- Achilles Tendon Disorders
- Achilles Tendon Rupture
- Peroneal Tendon Disorders
- Calf Strain
- Ganglions
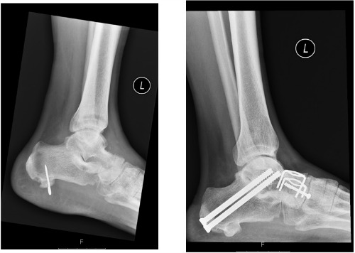
Hindfoot Arthritis
The hindfoot is the region of the body immediately below the ankle joint and it plays an important role in allowing the foot to undergo a conformational change from a flexible shock-absorber to a rigid lever for forward propulsion during normal walking. Having a mobile hindfoot allows the leg to adapt to walking over uneven surfaces.
There are three joints in the hindfoot: the subtalar, the talonavicular and the calcaneocuboid joint, all of which can become arthritic.
Arthritis occurs when the smooth articular cartilage covering the joint becomes worn, leading to friction and pain as the bones rub together.
Symptoms and Progression
Sufferers of hindfoot arthritis feel pain below the ankle during walking. The flexibility of the foot is often affected, which is noticeable while standing on uneven surfaces. Swelling around the side of the foot and ankle is also common.
Arthritis sufferers commonly live with the symptoms for a number of years before seeking treatment. Hindfoot arthritis tends to slowly progress with painful exacerbations occurring from time to time. The stiffness and pain tends to gradually increase, which makes walking or any form of weight-bearing exercise problematic.
Treatment can be sought at any stage, though as the shape of the hindfoot continues to change, this can lead to other nearby joints being affected if the condition is left untreated.
Diagnosis
A thorough clinical history and examination is generally enough to lead to a diagnosis of hindfoot arthritis. Standing X-rays of the foot are usually sufficient to confirm the diagnosis. A CT scan can sometimes be useful for precisely identifying which joints are affected and when determining the joint giving rise to pain, an image-guided injection of local anaesthetic and steroid can be extremely useful.
Non-Operative Treatment
Non-operative treatment for hindfoot arthritis aims to reduce the pain arising from the joint while maintaining a degree of mobility. In order to reduce the contact pressure across the degenerate joints one of the single most important measures is weight-loss and activity modification.
Activities that repetitively load the hindfoot such as running should be avoided and instead range of motion exercise to overcome stiffness commenced. Cycling and swimming in this respect are ideal. A formal course of physiotherapy may also be beneficial. It may be appropriate for work-place adaptations or restricted duties to be considered, particularly during painful exacerbations of arthritis.
Specialised footwear can help with pain, either by providing stability to the foot during walking, or by cushioning the impact on the affected joints. Insoles can be used to support the arch of the foot or but cupping the heel to limit hindfoot motion during walking to alleviate pain. A stiff-soled shoe or boot incorporating a rocker sole can also be useful in reducing the motion demanded from the hindfoot during walking.
Pain-killers and anti-inflammatory medication can also reduce symptoms, if there is no other medical objection to the patient taking them.
Steroids given directly into the affected joints can give temporary relief but repeated administration should be avoided. When used in combination with a local anaesthetic agent, usually under image-guidance (ultrasound or X-ray) injections can help confirm the joint as the source of pain when adjacent ankle or midfoot joints are also arthritic.
Surgery
The surgical treatment of hindfoot arthritis involves permanently stiffening the joints with a fusion or 'arthrodesis'.
Fusion can be carried-out either as an arthroscopic (key-hole) or open procedure. The residual articular cartilage is removed from the joints before they are fixed together in a functional position with screws or plates allowing the bones to heal together. This means the painful joints no longer rub together and pain is alleviated.
