- Ankle Arthritis
- Anterior Ankle Impingement and Bone Spurs
- Posterior Ankle Impingement and Os Trigonum
- Ankle Fracture
- Ankle Instability
- Ankle Syndesmosis Injury
- Osteochondral Lesions of the Talus (OLT)
- Tibialis Posterior Tendon Dysfunction
- Plantar Fasciitis
- Hindfoot Arthritis
- Lesser Toe Deformity
- Achilles Tendon Disorders
- Achilles Tendon Rupture
- Peroneal Tendon Disorders
- Calf Strain
- Ganglions
Posterior Ankle Impingement & Os Trigonum
What is it?
This condition describes the symptom of pain felt, sometimes with a catching-sensation at the back of the ankle joint with certain movements- usually jumping or pushing-off with the foot.
What is it caused by?
There are several important anatomical structures at the back of the ankle and hindfoot that are relevant in posterior impingement. The main bone making up the moving part of the ankle is called the talus. On the back of the talus there is a small bony prominence which usually fuses with the main talar body around the age of eighteen years but can sometimes remain separate, or linked through a cartilaginous joint. The separate residual piece of bone is called an “os-trigonum”.
An os-trigonum can irritate the long flexor tendon to the Great toe (flexor hallucis longus- FHL) causing pain or the link of cartilage can sometimes soften, move and become inflamed, causing pain.
Symptoms
The anatomical variants at the back of the ankle have in most cases always been there. Posterior impingement arises as these structures have been jarred or irritated by a recent injury or unusual repetitive sporting activity.
Because of the depth of the relevant anatomical structures, posterior impingement pain can be poorly localized but special clinical tests and routine imaging studies will easily identify the cause.
Diagnosis

The posterior impingement test, a jarring plantarflexion force is simulated to reproduce symptoms at the back of the ankle

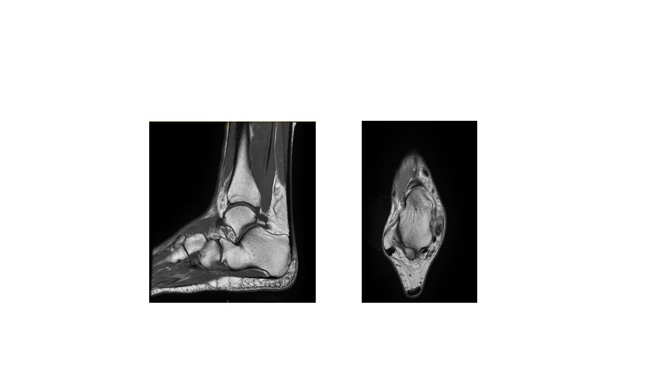
These MRI scans are “weighted” towards bone and show with excellent detail the Os-trigonum at the back of the ankle joint. A fluid-sensitive MRI sequence is reviewed alongside these images to determine whether there are signs of inflammation such as fluid surrounding the Os-trigonum of FHL tendon
Non-Surgical Treatment
Physiotherapy is an excellent initial treatment for posterior impingement, working on ankle stability and strengthening drills. A short period of bracing with activity restriction can help settle recurrent or acute posterior impingement episodes. Occasionally, an injection of local anaesthetic and steroid, given carefully under image-guidance can be all that is needed to settle the impingement pain.
Surgical
Failing non-operative treatment, arthroscopic (“key-hole”) surgery is ideal for assessment and treatment of posterior impingement. Arthroscopy allows precise evaluation of the cause of impingement, condition of the FHL tendon and allows straight-forward removal of an offending Os-trigonum.





